Skip to Content

Case Study: Robotic-Assisted Surgery to Treat Crohn’s Disease

May 22, 2025

3 Minutes

In January 2025, a 50-year-old male with Crohn’s disease underwent multiple robotic-assisted colorectal surgeries performed by Sean P. Whelan, MD, FACRS, to treat his Crohn’s disease at UPMC St. Margaret.

Before arriving at UPMC, the patient underwent an open total colectomy. Postoperatively, he had a complication where there was an injury to his intestine. The patient received an emergency laparotomy and recovered.

He then needed his rectum removed and was referred to Dr. Whelan for a robotic-assisted proctectomy. Dr. Whelan is a colorectal surgeon in the UPMC Division of Colon and Rectal Surgery and vice chair of Surgery at UPMC St. Margaret.

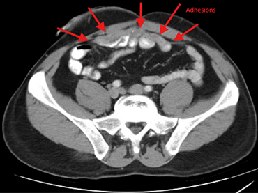
Image of scan. “The challenges of performing minimally invasive surgery on someone who had an emergent open operation are significant,” says Dr. Whelan. “They typically have a lot of scar tissue and adhesions. It can limit the ability to do minimally invasive surgery.”

Dr. Whelan discussed these challenges with the patient, who lives in Altoona, via a pre-surgery telemedicine visit.

Leveraging Advanced Technology for Complex Surgeries

The patient met Dr. Whelan on the day of his procedure. The surgeon began with a laparoscopic exploration, which showed the patient didn’t have free space in his belly.

“It was all collapsed with scar tissue, and I was able to make enough space laparoscopically that I could see,” describes Dr. Whelan.

Next, meticulous lysis of adhesions and scar tissue was needed, which can be done laparoscopically.

“The robotic surgical system gives you 3D vision, wristed instruments, and much more precision with that process than straight-stick laparoscopy,” adds Dr. Whelan.

He spent approximately four hours removing the scar tissue before he could see the patient’s rectum that needed to be removed. He removed it, repaired the patient’s parastomal hernia, and performed a complex ileostomy revision – all done minimally invasively.

Image of a scan.

An advantage of the robotic surgical system is that it gives surgeons better access to operate minimally invasively in the pelvis.

“It's like operating inside of a glass – reaching down a closed, rigid cylinder-type space,” describes Dr. Whelan. “If laparoscopy doesn't work and you must convert to an open procedure, that extends recovery time and increases pain and future adhesions. If you can use the robot to rescue that minimally invasive approach and keep it that way, I think that's really where it shines.”

The Standard of Care for Colorectal Disease: Minimally Invasive Surgery

The patient recovered well and followed up one month later for an in-office appointment.

As an operations manager, he spends some time in a warehouse doing heavy lifting. Since the patient’s surgery was minimally invasive, he was able to get back to his normal activity three weeks after surgery.

“Generally, when that type of operation is done openly, it's a minimum six weeks of no heavy lifting or strenuous activity,” says Dr. Whelan.

According to Dr. Whelan, the standard of care in the management of most colorectal diseases is minimally invasive surgery.

“The robotic surgical system is allowing us to expand this to more patients who would have previously undergone open operations,” he says.

Dr. Whelan adds that his team is also seeing high patient satisfaction and lower hospital length of stay with a much quicker return to normal activity.

To refer a patient or learn more about the UPMC Division of Colon and Rectal Surgery, call 412-647-1705.